
Somos GM SALUD HUMANA. Nuestra sede principal está en la ciudad de Bogotá.
La forma más fácil de obtener nuestros servicios es escribiendo a nuestro WhatsApp 3167561793. Incluido el servicio de asesoría y consultoría en la Implementación y Desarrollo de Sistemas de Gestión en Seguridad y Salud en el Trabajo de las empresas, brindado en la ciudad de Bogotá.
Abajo debe usted encontrar el servicio médico que está buscando. Brindamos servicios en 31 ciudades a julio de 2023.
Nuestro director es el Dr. Germán Maldonado Morales, egresado de la Universidad Nacional. Usted puede verificar su idoneidad en la Página del Ministerio de Salud y Protección Social de Colombia:
https://web.sispro.gov.co/THS/Cliente/ConsultasPublicas/ConsultaPublicaDeTHxIdentificacion.aspx
Allí puede usted verificar su registro en el ReTHUS con su número de cédula : 19438233
BÚSQUEDA POR CIUDADES:
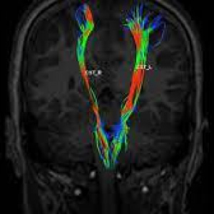
Resonancia nuclear magnetica de cerebro con tractografia contrastada. EN. Codigo CUPS 883106 C (2022)
|
Categoría: |
Medellin, Sabaneta |
|
SKU/Código: |
829 |
|
Precio: |
$1232550 |
|
{{variant.name}}:
|
{{opt.name}}
{{opt.name}}
|
ESCANOGRAFIA NEUROLOGICA S.A.
Medellin, Barrio Prado Centro: Calle 59 # 50 A - 14
Sabaneta, Carrera 48 # 50 sur 128. Al interior del Centro Comercial Mayorca Mega Plaza
Venta directa: 5%