
Somos GM SALUD HUMANA. Nuestra sede principal está en la ciudad de Bogotá.
La forma más fácil de obtener nuestros servicios es escribiendo a nuestro WhatsApp 3167561793. Incluido el servicio de asesoría y consultoría en la Implementación y Desarrollo de Sistemas de Gestión en Seguridad y Salud en el Trabajo de las empresas, brindado en la ciudad de Bogotá.
Abajo debe usted encontrar el servicio médico que está buscando. Brindamos servicios en 31 ciudades a julio de 2023.
Nuestro director es el Dr. Germán Maldonado Morales, egresado de la Universidad Nacional. Usted puede verificar su idoneidad en la Página del Ministerio de Salud y Protección Social de Colombia:
https://web.sispro.gov.co/THS/Cliente/ConsultasPublicas/ConsultaPublicaDeTHxIdentificacion.aspx
Allí puede usted verificar su registro en el ReTHUS con su número de cédula : 19438233
BÚSQUEDA POR CIUDADES:
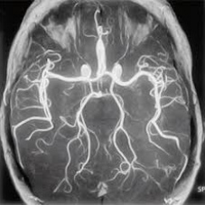
Resonancia nuclear magnetica con angiografia cerebral simple. 883909 Idime
|
Categoría: |
Bogotá, Bucaramanga, Cali, Cucuta, Ibagué, Pereira |
|
SKU/Código: |
563 |
|
Precio: |
$560000 |
|
{{variant.name}}:
|
{{opt.name}}
{{opt.name}}
|
IDIME. Instituto de Diagnóstico Médico. Código de Convenio : 8915
BOGOTÁ
Sede Lago:Dirección: Calle 76 No. 13 – 46 / 22
Sede calle 77: Calle 77 No. 13 – 35
Sede Norte: Autopista Norte No. 122 – 68
Sede Occidente: Av. Américas No. 69C – 94
Sede Sur: Cra. 21 No. 22 – 68 Sur
IBAGUÉ
Carrera 4D No. 32-29
PEREIRA
Carrera 13 No. 11-89
CÚCUTA
Calle 12 A No. 1E - 24
BUCARAMANGA
Carrera 27 No. 30 - 15 Segundo Piso Hospital Universitario Los Comuneros
CALI
Sede DESA Calle 5D No.38A-35 Sótano 1. Barrio Tequendama
INCLUYE MEDIO DE CONTRASTE Y SECUENCIA CONTRASTADA POR $209.000
El medio de contraste es especial si el paciente tiene insuficiencia renal, es hipertenso, diabético, es pediátrico o tiene la creatinina elevada
Venta directa: 4%